Καταγγελία κοινωνικού ιατρείου Νέας Φιλαδέλφιας για περίπτωση ασθενούς

Νέα Φιλαδέλφεια ,07.02.2015
ΥΓΕΙΟΝΟΜΙΚΗ ΒΟΜΒΑ ΟΙ ΣΥΝΘΗΚΕΣ ΣΤΑ ΚΕΝΤΡΑ ΚΡΑΤΗΣΗΣ!
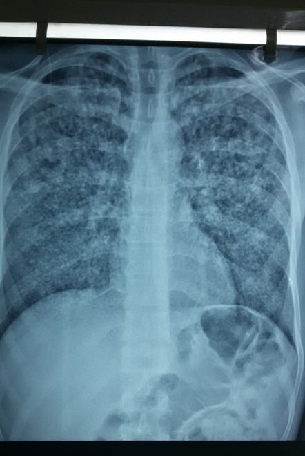
Την Παρασκευή (06/02/15) εξετάστηκε στο Κοινωνικό Ιατρείο νέος 24 χρονών από το Πακιστάν, ο οποίος ,μετά την κράτησή του στο Κέντρο Κράτησης μεταναστών στην Αμυγδαλέζα , παρουσίασε σταδιακή αδιαθεσία, απώλεια βάρους, πυρετό (40° C) και βήχα. Από την ακτινογραφία θώρακα διαγνώστηκε φυματίωση (κεχροειδής) .O ασθενής παραπέμφθηκε σε εφημερεύον νοσοκομείο της Αθήνας όπου και νοσηλεύεται.
Με την δημοσιοποίηση του περιστατικού θέλουμε να καταγγείλουμε δημόσια την λειτουργία των κέντρων κράτησης – αποθηκών ανθρώπων και τις άθλιες συνθήκες διαβίωσης σε αυτά. Αποτελούν μια φασιστικού τύπου έμπνευση από τις προηγούμενες μνημονιακές κυβερνήσεις και πρέπει άμεσα να κλείσουν!
Η φυματίωση ως ασθένεια έχει δυστυχώς αυξηθεί μέσα στα χρόνια της κρίσης. Υπεύθυνοι για την αύξηση της δεν είναι οι μετανάστες και οι πρόσφυγες αλλά η πολιτική των μνημονίων που εφαρμόστηκε στην χώρα μας.
Είναι ευρέως γνωστό ότι η αύξηση παθήσεων όπως η φυματίωση σχετίζονται με τις συνθήκες διαβίωσης του πληθυσμού και όχι με την καταγωγή των ασθενών. Το επιστημονικό αυτό δεδομένο φαίνεται ότι οι Υπουργοί Υγείας Λοβέρδος και Γεωργιάδης δεν το γνώριζαν όταν μιλούσαν για μετανάστες-υγειονομικές βόμβες. Υγειονομική βόμβα αποτελούν οι συνθήκες κράτησης στην Αμυγδαλέζα και σε όλα τα κέντρα κράτησης ανά την Ελλάδα. Υγειονομική βόμβα αποτελεί ότι οι ανασφάλιστοι δεν μπορούν να κάνουν εργαστηριακές εξετάσεις και δεν μπορούν να αγοράσουν τα φάρμακα τους . Υγειονομική βόμβα αποτελεί η νεοφιλελεύθερη μνημονιακή πολιτική που εφαρμόστηκε στην χώρα μας τα τελευταία χρόνια ακολουθώντας τις υποδείξεις της Ευρωπαϊκής Ένωσης και του ΔΝΤ .
Καλούμε το Υπουργείο Υγείας και την Κυβέρνηση να επέμβουν άμεσα στον έλεγχο των συνθηκών κράτησης και να προχωρήσουν, επιτέλους, στο κλείσιμο των στρατοπέδων συγκέντρωσης!
Ακολουθεί η ακτινογραφία θώρακα


